Приложение для постобработки изображений Canon Advanced Post-Processing
Быстрое, интуитивно понятное и точное решение для повышения производительности и ухода за пациентами: неврология, включая нейропедиатрию и МРТ, решение для визуализации всего тела, включая грудь и простату, приложение MSK для раннего выявления разрушения хряща.
Неврология
Оптимизированное решение для диагностической помощи при нейровизуализации взрослых и детей
Автоматически и точно рассчитывает качественные и количественные карты проницаемости.
- Обнаружение, классификация и характеристика опухолей с быстрым доступом к качественной и количественной информации индивидуальный макет
- Решение для мгновенного инсульта для МРТ с автоматическим составлением отчетов
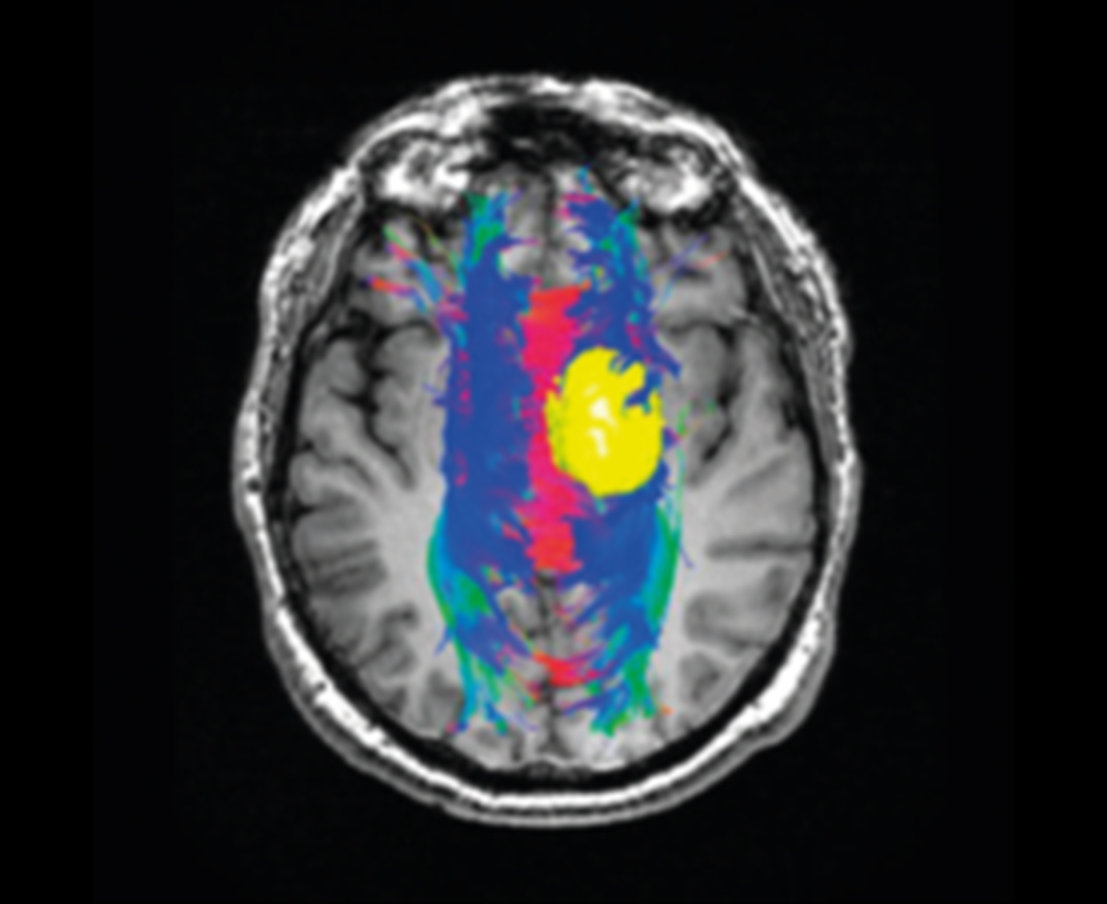
- Предоперационное планирование с трактографией и отображением волокон на обычных картах
- Последующее наблюдение за развитием поражения и анализ ответа на лечение с временным вычитанием
- Неинвазивная перфузия ASL для педиатрии и противопоказания почек
- Инструменты расширенного анализа и сегментации

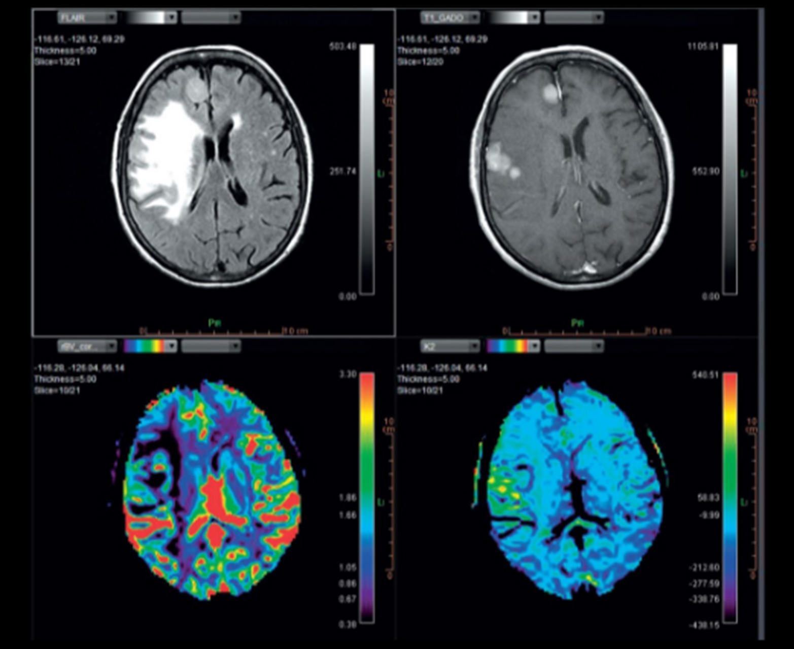
Многопараметрическое настраиваемое отображение карт диффузии и перфузии, включая карты rCBV_corrected и K2

Отслеживание волокна и объединение с обычными картами

Мгновенный и стандартизированный отчет об инсульте с автоматическим вычислением несоответствия

Количественные карты проницаемости головы и шеи

Последующее наблюдение за поражением с совместной регистрацией

Неконтрастная перфузия ASL
Онкология тела
Оптимизированные решения для комплексной визуализации при патологиях груди и простаты
- Обнаружение, классификация и характеристика опухолей с быстрым доступом к качественной и количественной информации
- Интегрированные и управляемые отчеты Pi-Rad и Bi-Rads для повышения эффективности
- Автоматический расчет кинетического распределения
- Количественная оценка микроперфузии и электронных значений b методом IVIM
- Инструменты расширенного анализа и сегментации

Расчет АЦП и других качественных и количественных карт

Многопараметрический просмотр и инструменты анализа для быстрой характеристики поражения

Интегрированная и управляемая отчетность Pi-Rads Bi-Rads
Опорно-двигательный аппарат
Диагностика и наблюдение за спортивными и ортопедическими заболеваниями
- Расчет отображения T2
- Раннее обнаружение разрушения хряща с помощью карты Thresholds T2

Обнаружение хрящевой ткани в группе риска с использованием пороговых значений времени релаксации T2