Симулятор ультразвуковой диагностики MedVision SonoVision
Виртуальный симулятор ультразвуковых исследований (УЗИ) SonoVision – обучающий тренажер на единой платформе обеспечивающий освоение основных навыков проведения ультразвукового исследования, понимание и идентификацию различных заболеваний и патологии внутренних органов человека.
SonoVision – симулятор ультразвуковой диагностики является инструментом для профессионального изучения медицины. Это виртуальный симулятор для отработки навыков ультразвуковой диагностики. Он используется как студентами, так и практикующими специалистами в клиниках и больницах. Симулятор ультразвуковой диагностики – прекрасное дополнение к традиционному обучению и повышению квалификации медицинского персонала.
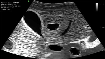
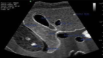
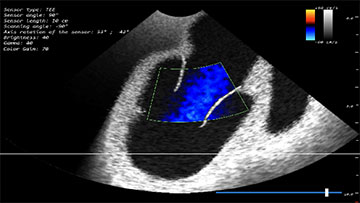
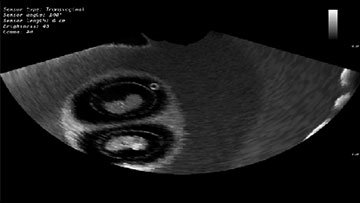
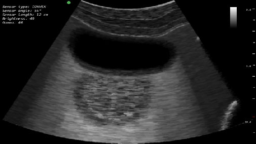
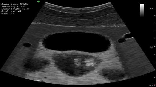
Новое поколения симулятора УЗИ гарантирует высочайший уровень детализации внутренних органов, а работа с анатомически корректным манекеном обеспечивает реалистичные тактильные ощущения и визуальную картину при выполнении вмешательств. В симуляторе реализовано более 40 клинических сценариев.
Преимущества
Костно-мышечная структура торса реализована на основе реальных томографических снимков, а кожа изготавливается из специального силикона, устойчивого к постоянному механическому воздействию и использованию геля для УЗИ.
Использование реалистичных имитаторов датчиков ультразвукового исследования.
Высочайший уровень детализации внутренних органов. реалистичные тактильные ощущения:
- Трехмерная модель органов в окне виртуальной реальности;
- Детализированные анамнезы для каждого клинического случая;
- Отслеживание положения датчика УЗИ в режиме реального времени;
- Измерения органов и настройка параметров УЗИ изображения.
Важными элементами симулятора являются анатомически корректный фантом торса пациента и аналогичный реальному датчик УЗИ.
Программное обеспечение
Программное обеспечение включает в себя набор учебных сценариев, для каждого из которых представлена теоретическая часть с набором дидактических материалов и практическая часть, для которой представлен свой набор параметров, на основании которых обучающиеся должны выстраивать необходимый и наиболее подходящий курс действий.
Библиотека модулей
Библиотека учебных модулей включает упражнения, направленные на отработку процедур УЗИ органов малого таза (мужчина и женщина), брюшной полости и грудной клетки. Каждый клинический случай снабжается детализированным анамнезом для углубления процесса обучения.

Модуль по базовым навыкам в УЗИ

Модуль по УЗИ органов брюшной полости и забрюшинного пространства

Модуль фокусированного УЗИ при травме (FAST протокол)

Модуль по трансторакальному УЗИ сердца

Модуль по трансэзофагеальному УЗИ сердца

Модуль по трансторакальному УЗИ сердца на основе данных реальных пациентов

Модуль по УЗИ щитовидной железы

Модуль базовых навыков в гинекологии

Модуль по исследованию плода на первом триместре развития

Модуль по абдоминальному УЗИ мочевого пузыря (для мужчин) и предстательной железы

Модуль по абдоминальному УЗИ мочевого пузыря (для женщин) и органов женского таза
Комплектация:
- Обучающий модуль по ультразвуковому исследованию органов брюшной полости и забрюшинного пространства
- Обучающий модуль по ультразвуковому исследованию мочевого пузыря (для мужчин) + предстательной железы с помощью абдоминального датчика
- Обучающий модуль по ультразвуковому исследованию щитовидной железы
- Обучающий модуль по ультразвуковому исследованию мочевого пузыря (для женщин) + органов женского таза (матка + яичники) с помощью абдоминального датчика
- Обучающий модуль по трансторакальному ультразвуковому исследованию сердца
- Обучающий модуль по трансэзофагеальному ультразвуковому исследованию сердца
- Обучающий модуль фокусированного УЗИ при травме (FAST протокол
- Обучающий модуль базовых навыков в гинекологии
- Обучающий модуль "Акушерство на 1-м триместре развития"